Home
Program
Experiences
Assessment
Apply
Contact
Events
Secure
Menu
Street Address
City, State, Zip
Phone Number
Your Custom Text Here
Home
Program
Experiences
Assessment
Apply
Contact
Events
Secure
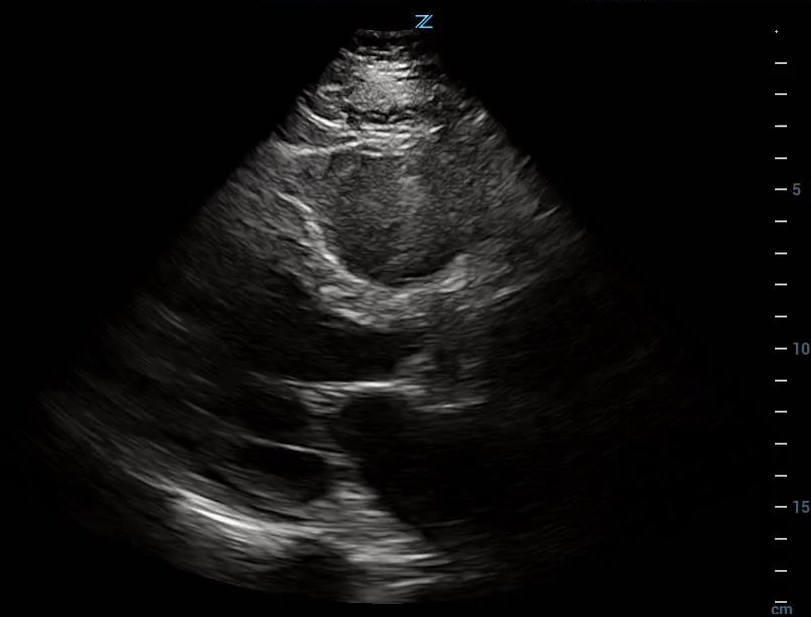
Severe Left Ventricular Dysfunction
Case 1:
LVEF 10%
Case 2:
LVEF 15%
Case 3:
LVEF 20-25%