Home
Program
Experiences
Assessment
Apply
Contact
Events
Secure
Menu
Street Address
City, State, Zip
Phone Number
Your Custom Text Here
Home
Program
Experiences
Assessment
Apply
Contact
Events
Secure
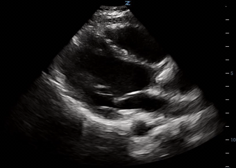
Normal LVEF