Home
Program
Experiences
Assessment
Apply
Contact
Events
Secure
Menu
Street Address
City, State, Zip
Phone Number
Your Custom Text Here
Home
Program
Experiences
Assessment
Apply
Contact
Events
Secure
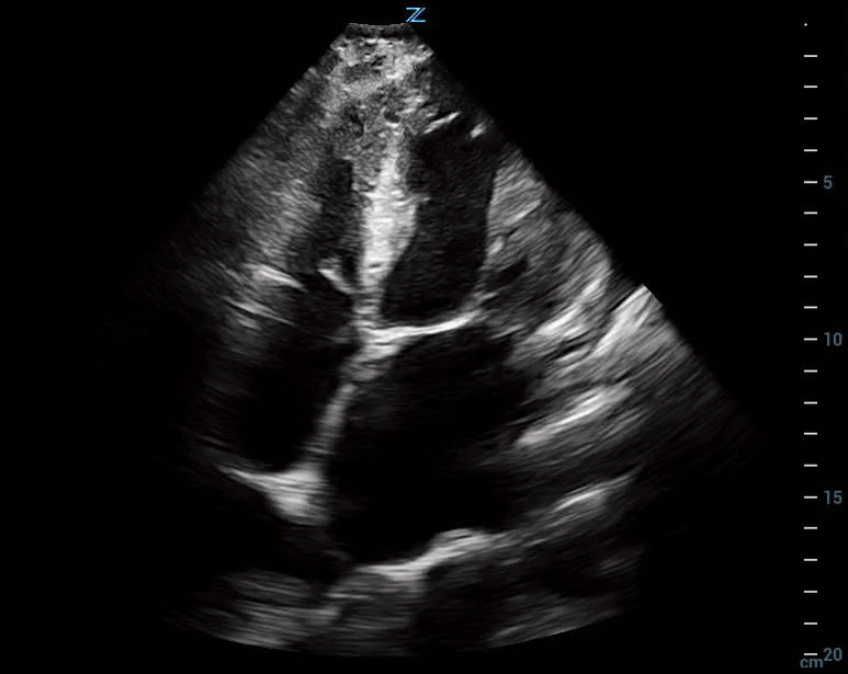
Mild Left Ventricular Dysfunction
Case 1:
Mild LV dysfunction a small pericardial effusion as well as a left sided pleural effusion
Case 2:
Mild LV dysfunction